USG jąder
| Ile kosztuje USG jąder? | |
|---|---|
| USG jąder | 250zł |
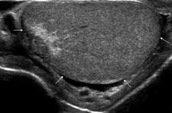
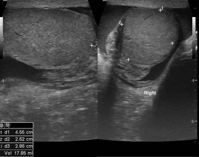
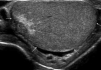
USG jąder pozwala na ocenę zawartości worka mosznowego: jąder, najądrzy, ich osłonek i obecności żylaków powrózka nasiennego. Powinno być wykonane w każdym przypadku bólu jąder, powiększenia moszny, wyczuwalnego guzka, wycieku z cewki moczowej. Przy braku jądra w worku mosznowym pozwala na ustalenie przyczyn tego stanu. Dodatkowym wskazaniem do wykonania USG jąder są niepowodzenia w rozrodzie. Nie wymaga żadnego przygotowania. Badanie wykonywane jest u pacjentów w każdym wieku, jest bezbolesne, może być powtarzane wielokrotnie bez narażania pacjenta na szkodliwe promieniowanie.
