Echo serca obciążeniowe (Stress Echo, próba dobutaminowa, echokardiograficzna próba obciążeniowa)
| Ile kosztuje próba dobutaminowa? | |
|---|---|
| Próba dobutaminowa | 400 zł |
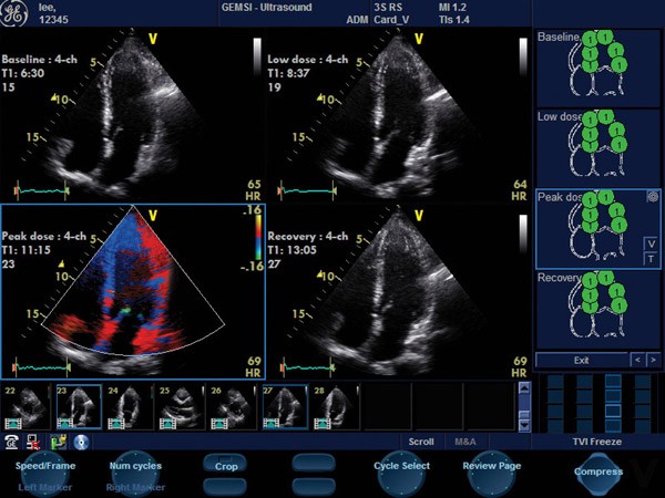
Próba dobutaminowa to uznana, zasadniczo bezpieczna i nieinwazyjna metoda diagnostyczna, polegająca na monitorowaniu pracy serca za pomocą echokardiografu przy stopniowo zwiększanym obciążeniu lekiem – dobutaminą.
Dobutamina jest aminą presyjną, która przyspiesza pracę serca i może wpływać na wzrost ciśnienia tętniczego. Lek podawany jest do organizmu przy użyciu specjalistycznej pompy infuzyjnej, co pozwala na precyzyjną kontrolę przebiegu badania.
Celem próby dobutaminowej jest kontrolowana ocena ewentualnego niedokrwienia mięśnia sercowego oraz określenie stopnia uszkodzenia, które może wskazywać na chorobę wieńcową, jej zaawansowanie oraz potrzebę dalszej diagnostyki, w tym wykonania koronarografii.
Echokardiografia dobutaminowa u pacjentów po zawale serca ma również dużą wartość w ocenie żywotności określonych obszarów mięśnia sercowego oraz w prognozowaniu powrotu funkcji skurczowej lewej komory u osób leczonych pierwotną angioplastyką (PCI) lub pomostowaniem naczyń wieńcowych (CABG).
W naszym ośrodku wykonujemy badanie echo serca aparatem Vivid S 5.
Wskazania do wykonania badania
- podejrzenie choroby wieńcowej u osób, które nie mogą wykonać wysiłku fizycznego,
- nieprawidłowe spoczynkowe EKG uniemożliwiające ocenę niedokrwienia, na przykład przy WPW, LBBB lub stymulacji komorowej,
- wątpliwie ujemny lub dodatni wynik próby wysiłkowej EKG, niezgodny z obrazem klinicznym,
- kwalifikacja do rozległych operacji niekardiochirurgicznych w celu oceny ryzyka powikłań sercowo-naczyniowych,
- ocena istotności czynnościowej granicznych zmian stwierdzonych w koronarografii,
- ocena żywotności uszkodzonego obszaru mięśnia sercowego przed ewentualną angioplastyką lub pomostowaniem naczyń wieńcowych.
